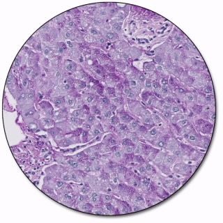
PAS Stain Kit is used to identify glycogen in tissue sections on the Artisan Link and Artisan Link Pro Staining Systems. PAS-positive entities and structures are also numerous in tissue sections. Duplicate sections are stained with or without a pretreatment, such as the Artisan Alpha-Amylase (Code AR171), which is a glycogen-digesting enzyme. Positive glycogen: magenta, nuclei: blue and the background: pink.
This product is not available for purchase by the general public.
Product Details
Features
Optimized staining performance with standardized and validated protocols
Total automated staining process achieved with onboard drying and deparaffinization
Fresh reagents dispensed on every slide using the precision dispensing of reagents in sealed, ready-to-use cartridges
Exceptional staining consistency from a reliable, proven and fully automated instrument
Make performing special stains stress free with onboard drying and deparaffinization, an extensive menu of automated stains, and anOptimized workflow. Check the Atlas of Special Stains - a guide to the staining patterns of our Special Stains.