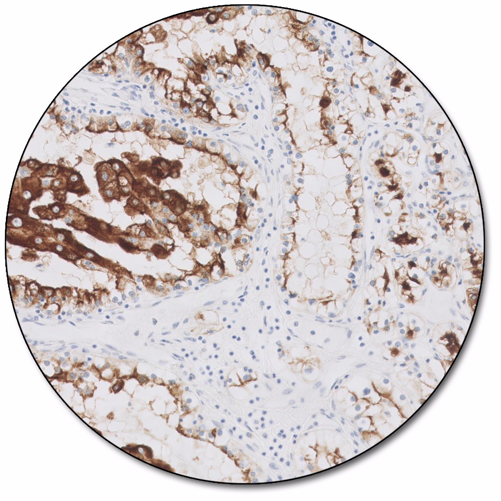
Reacts with renal cell carcinoma marker (gp200), a surface membrane glycoprotein. The antigen is expressed on the brush border of proximal renal tubules and on the luminal surface of Bowman's capsule, as well as in parathyroid parenchymal cells and colloid of thyroid follicles. The antibody is a useful aid for classification of primary and metastatic renal cell carcinomas.
This product is not available for purchase by the general public.
Product Details
Features
Optimized staining performance of both high and low-expression structures
Dako Omnis and the dynamic gap staining technology provides a consistent, uniform staining with excellent morphology
Crisp and clear staining with no background
Optimal laboratory efficiency with ready-to-use antibodies on Dako Omnis
The staining performance of all FLEX RTU antibodies has been defined, tested and approved through collaboration with leading, international pathology experts.
Specifications
Application
Formalin
HIER
Clone
SPM314
Code Number
GA075
Immunogen
Microsomal fraction of human renal cortical tissue homogenate.
Isotype
IgG2b, kappa
Reagent Provided
Ready-to-use monoclonal mouse antibody provided in liquid form in a buffer containing stabilizing protein and 0.015 mol/L sodium azide.
Solutions
Dako Omnis
Species
Mouse Anti-Human
Specificity
In Western blotting of Caki-1 cell lysate, the antibody labels a band of approximately 200 kDa corresponding to the expected molecular weight of renal cell carcinoma marker (8). See package insert for reference(s).