Skip to main content

c-Kit pharmDx Kits

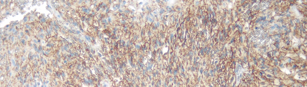
c-kit, otherwise known as CD117 and stem cell factor receptor, is a 145 kDa type III transmembrane receptor tyrosine kinase encoded by the c-Kit proto-oncogene. Studies suggest that the c-Kit gene product is closely related to the process of malignant transformation, and to the pathogenesis of some specific types of human solid tumors.

Refine By

Products

|
|

Sort Alphabetically

Filter by
Filter Content Selection Tool

Need Help? Find products using our Selection Tool.

0 product selected.

Clear All