Non-small cell lung cancer
PD-L1 IHC 22C3 pharmDx for use with Dako Omnis
IVD

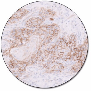
PD-L1 IHC 22C3 pharmDx is a qualitative immunohistochemical assay using Monoclonal Mouse Anti-PD-L1, Clone 22C3 intended for use in the detection of PD-L1 protein in formalin-fixed, paraffin-embedded (FFPE) non-small cell lung cancer (NSCLC) tissue, using EnVision FLEX visualization system for use on Dako Omnis.
PD-L1 protein expression in NSCLC is determined by using Tumor Proportion Score (TPS), which is the percentage of viable tumor cells showing partial or complete membrane staining at any intensity. The specimen should be considered to have PD-L1 expression if TPS ≥ 1%.
PD-L1 IHC 22C3 pharmDx is indicated as an aid in identifying NSCLC patients for treatment with KEYTRUDA® (pembrolizumab). See the KEYTRUDA® product label for specific clinical circumstances guiding PD-L1 testing.
PD-L1 IHC 22C3 pharmDx on Dako Omnis
The assay is a modular IHC assay for 60 tests. The assay has been tailored especially with EnVision FLEX visualization system on the Dako Omnis instrument. The complete assay consists of the following components (to be ordered separately):
- PD-L1 IHC 22C3 pharmDx (GE00621-5) for Dako Omnis (Monoclonal Mouse Anti-PD-L1, Clone 22C3, RTU (Dako Omnis) with Negative Control Reagent)
- EnVision FLEX, High pH (Dako Omnis) (GV80011-2) OR EnVision FLEX Mini Kit, High pH (Dako Omnis) (GV82311-2)
- EnVision FLEX Target Retrieval Solution, Low pH (50x) (GV80511-2)
- EnVision FLEX+ Mouse Linker (Dako Omnis) (GV82111-2)
- EnVision FLEX DAB Enhancer (Dako Omnis) (GC80611-2)
- PD-L1 Control Slides (T139130-2) (optional)
The assay requires Low pH Target Retrieval, Mouse Linker and a DAB Enhancer but the PD-L1 Control Slides are optional.
For countries outside of the United States, see the local KEYTRUDA product label for approved indications and expression cutoff values to guide therapy.
PD-L1 IHC 22C3 pharmDx is subject to an exclusive trademark license to Dako Denmark A/S. KEYTRUDA is a registered trademark of Merck Sharp & Dohme LLC, a subsidiary of Merck & Co., Inc., Rahway, NJ, USA.
For In Vitro Diagnostic Use.