Skip to main content
サイクリン D1 (ダコ Omnis 用)

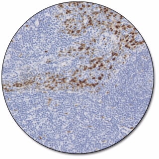
Mantle cell lymphoma

サイクリン D1 (ダコ Omnis 用)

Clone EP12

本ウサギモノクローナル抗体は、染色体11q13に位置しCCND1(bcl-1)遺伝子産物として知られる分子量36kDaのサイクリンD1と反応します。サイクリンD1はサイクリン依存性キナーゼであるCDK4やCDK6と複合体を形成し活性化します。また様々なヒト腫瘍においてCCND1遺伝子の増幅やサイクリンD1の過剰発現が認められることから、サイクリンD1の腫瘍発生への関与が注目されています。サイクリンD1を認識する抗体は、リンパ系腫瘍においてマントル細胞リンパ腫を同定するのに特に有用です。

製品の詳細 関連製品 プロモーション
表示するデータがありません
This product is not available for purchase by the general public.
1-10 of 40 results
商品がカートに追加されました。
成功

0 個の製品を選択中.

すべて消去