Agilent Technologies Inc. (NYSE: A) today announced the release of a new proprietary color for immunohistochemistry: HRP Magenta for Dako Omnis. The excellent staining characteristics of the new chromogen make it particularly useful for assessment of skin and lung tissue.

"By making our innovative chromogen HRP Magenta available to our customers, we provide the means for crisp and clean stains in a bright color that is easily identified and differentiated from brown pigmentation," said Christian Sauber, vice president and general manager of Agilent's Pathology Division.

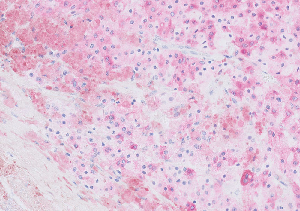
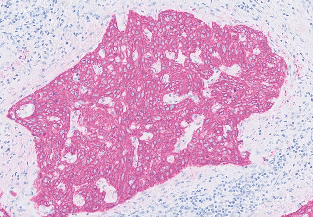
When diagnosing cancer, pathologists typically stain tumor samples with a brown stain called DAB. However, for skin and lung biopsies, they usually choose a red stain as it contrasts well with the brown melanin color in skin, and any pollution artifacts that are typical in lung tissue.

"Nice contrast, very distinct and very clear," said Herr. Professor Dr. Med. Glen Kristiansen, University Hospital Bonn, Germany, when introduced to the HRP Magenta stain.

HRP Magenta has a transparent nature, yet is clearly visible, distinct and intense. This allows the pathologist to recognize tissue structures and cellular details even in strongly stained cases. Nuclei can be easily identified, and all details are visible.

HRP Magenta is designed for use on Dako Omnis, the company's flagship instrument for immunohistochemistry and in situ hybridization. Derived from a well-known chromogen used for many years in other industries, the molecule has been modified for use in cancer diagnostics.

HRP Magenta, used with the Dako EnVision FLEX visualization system for Dako Omnis, enables laboratories to stain with two colors—brown and magenta—occupying only few additional vial spaces in the instrument. This added flexibility is expected to enable a leaner workflow with quicker turnaround times for faster patient diagnoses.

The product is being launched first in the United States and Europe, other countries will follow.